Alt Text

Mid Foot Pain

Midfoot Pain Treatment at The London Podiatry Centre

Pain across the top or arch of the foot is often due to arthritis or damage within the complex network of joints known as the midfoot — including the Lisfranc and Chopart joints.

At The London Podiatry Centre, we use high-resolution ultrasound to pinpoint exactly which joints or structures are causing the discomfort. In most cases, minimally invasive treatments such as guided injections, orthotic therapy, and specialist footwear are highly effective — often avoiding the need for surgery.

Alt Text

Mr. McCulloch rarely operates on midfoot joints now, thanks to the success of these non-surgical techniques. However, when there is significant soft tissue damage, such as tendon tears, cyst formation, or similar issues, surgical intervention may be necessary.

If your pain is located underneath the midfoot, this may relate to plantar fasciitis or tendon dysfunction, which is discussed in the Heel Pain section.

We provide a tailored, step-by-step approach to resolve midfoot pain using the least invasive and most effective methods available.

Alt Text

What Causes Midfoot Pain?

While midfoot arthritis is the most frequent cause, midfoot pain can result from multiple structures within the foot being overloaded or irritated. The midfoot includes a complex group of joints, primarily the Chopart’s joint and Lisfranc’s joint, which play a crucial role in weight distribution and foot stability.

As these joints degenerate or become compressed, patients experience pain, stiffness, and functional limitation. However, other important causes of midfoot pain include:

Tendinopathy: The tendons that cross the midfoot may become inflamed due to abnormal movement patterns or repetitive shear irritation.
Nerve irritation: The superficial dorsal cutaneous nerves running across the top of the foot may become irritated or compressed, producing burning, tingling, or shooting pain in the midfoot region.

At The London Podiatry Centre, we specialise not only in joint and tendon problems, but also in nerve-related midfoot pain, offering advanced treatment options that are rarely available elsewhere.

Advanced Diagnosis at The London Podiatry Centre

Depending on your clinical needs, your assessment may include:

In-depth computerised gait analysis
Biomechanical evaluation
High-resolution diagnostic ultrasound
Targeted imaging (X-rays, CT or MRI as indicated)

This comprehensive, tailored approach enables us to pinpoint the precise cause of midfoot pain and design a highly targeted, individualised treatment plan.

Midfoot Pain Treatment Options

At The London Podiatry Centre, our treatment philosophy is always to preserve joint function and avoid surgery whenever possible.

Conservative Treatments:
Custom orthotic devices to protect and offload the painful midfoot joints.
Specialist footwear to stabilise the arch and redistribute pressure.
Biomechanical correction following detailed gait analysis.
Activity modification to reduce joint strain and allow healing.

For many patients, optimal footwear combined with expertly designed orthoses can eliminate or dramatically reduce midfoot pain.

Ultrasound-Guided Injection Therapies:

When additional intervention is needed, we provide a full range of ultrasound-guided injections:
Steroid injections to reduce joint and tendon inflammation.
Hydrodissection for nerve or soft tissue entrapments.
Viscosupplementation to restore joint lubrication.

Specialist Nerve Pain Treatments

For patients with nerve-related midfoot pain, The London Podiatry Centre offers advanced treatments rarely available in most clinics:
Pulsed Radiofrequency Therapy: A minimally invasive procedure using controlled electrical energy to calm irritated nerves.
Cryosurgery (Cryoablation): Targeted freezing to deactivate chronically painful nerves while preserving healthy tissue.

These innovative nerve treatments are highly effective and often life-changing for patients suffering from long-standing, difficult-to-treat midfoot pain.

Surgical Options

Surgery is only considered in rare, severe cases:

If necessary, limited joint fusion may be performed, but only where few joints are involved.
Multiple joint fusions are typically avoided as they may cause adjacent joint overload.

Our goal is always to avoid unnecessary surgery and maintain natural joint function wherever possible.

Why Choose The London Podiatry Centre for Midfoot Pain?

International expertise in complex midfoot arthritis and nerve-related midfoot pain.
Full integration of gait analysis, biomechanics, and orthotic correction into every treatment plan.
Highly advanced ultrasound-guided injection therapies.
Dedicated expertise in nerve pain management using pulsed radiofrequency and cryosurgery.
Over 30 years of specialist experience in complex foot and ankle disorders.

If you’re suffering from midfoot pain, whether joint, tendon, or nerve-related, The London Podiatry Centre offers one of the most comprehensive services in the UK. Many patients come to us after failed treatments elsewhere — let us help you get back to walking comfortably and confidently.

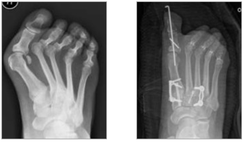
CASE STUDY

This patient required extensive surgery to correct a severe bunion and lesser toe deformity with mid foot arthritis.

The wire in the great toe was removed a few weeks after surgery. The patient had similar surgery on the other foot where the operation resolved a long history of severe foot pain.

Alt Text

BOOK YOUR FACE-TO-FACE
OR ONLINE CONSULTATION
WITH THE CLINIC

The London Podiatry Centre © 2026 | Website by: Karma Creative
Follow us